ביקור ראשון במרפאה
בביקור הראשון במרפאה נשאל לגבי מידע רלוונטי לטיפול.
נבצע בדיקה קלינית כדי להעריך את מיקום הלסתות, החיוך וסידור השיניים.
לאחר הבדיקה נסביר האם לדעתנו נדרש טיפול, האם זה הזמן המתאים לטיפול, במידה ונדרש טיפול – באיזה מכשור אורתודונטי ניתן להשתמש
(סמכים, מכשור בלתי נראה וכו').
כדי לקבוע תוכנית טיפול מלאה, יש צורך בצילומים נוספים
(צילומי רנטגן, תמונות פנים ושיניים וכו').
נפנה אתכם לצילומים במידה ויש צורך. במפגש הבא אנחנו נעבור על כל צילומי העזר ויחד איתכם נחליט על הטיפול המתאים ובאיזה מכשור נשתמש.
ביקור ראשון במרפאה

כל מה שצריך לדעת על טיפול אורתודנטי
יש גישות טיפוליות שונות לגבי הגיל בו ניתן להתחיל טיפול אורתודונטי. אנחנו במחלקה לארותודונטיה בתל השומר ממליצים על בדיקה ראשונית אצל אורתודונט בגיל 8-9, ובבדיקה יקבע האם יש צורך בטיפול אורתודונטי, האם להתחיל בטיפול מיד או שניתן לדחות למועד מאוחר יותר. כמובן שהורה או רופא שיניים כללי שמבחינים בממצא חריג יכולים לפנות גם בגיל צעיר יותר.
הגיל בו נתחיל טיפול אורתודונטי נקבע לפי שני גורמים עיקריים:
- שלב התפתחות השיניים והלסתות.
- בשלות הילד להתחיל בטיפול. במהלך הטיפול המתרפא נדרש לשמור על הגיינה קפדנית ולמלא את הוראות הרופא. אם הילד אינו בשל, לא נוכל להתחיל בטיפול.
בחלק מהילדים ניתן להתחיל טיפול כבר בגיל 9-10, אך לפעמים ניתן להתחיל טיפול בגילאים 12-13.
המלצה מדוייקת יותר לגיל בו רצוי להתחיל בטיפול ניתן לקבל רק לאחר בדיקה אצל אורתודנט.
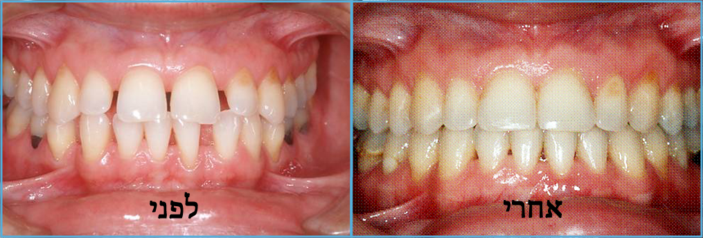
גלריית טיפולים




